درد استخوان چه زمانی می‌تواند نشانه سرطان باشد؟

درد استخوان چه زمانی علامت سرطان است و باید جدی گرفته شود؟
تیم تولید محتوای ایران نوبت
1404/09/06

آیا درد استخوان علامت سرطان است؟

آیا درد استخوان علامت سرطان است؟
درد استخوان در بیشتر مواقع به دلیل مشکلات ساده‌تری مثل ضربه، التهاب، آرتروز یا کمبود ویتامین ایجاد می‌شود. اما اگر این علائم را مشاهده کردید ممکن است نشانه ای از بروز سرطان باشد و باید به پزشک مراجعه کنید:
درد مداوم و ادامه‌دار
اگر درد بیش از ۲ تا ۳ هفته ادامه داشته باشد و به مرور بدتر شود باید بررسی شود.
درد شبانه
یکی از مهم‌ترین نشانه‌های نگران‌کننده دردی است که شب‌ها بدتر می‌شود و باعث بیدار شدن بیمار می‌شود.
درد بدون دلیل مشخص
دردی که پس از ضربه یا فعالیت خاص ایجاد نشده باشد باید جدی گرفته شود.
تورم یا برآمدگی در ناحیه درد
توده قابل لمس، تغییر شکل استخوان یا گرم شدن موضعی می‌تواند نشانه رشد تومور باشد.
شکستگی بدون ضربه
تومور باعث تضعیف استخوان می‌شود و ممکن است استخوان با کوچک‌ترین فشار بشکند. به این حالت «شکستگی پاتولوژیک» گفته می‌شود.
علائم عمومی هشداردهنده
کاهش وزن بی‌دلیل
خستگی شدید
بی‌اشتهایی
تب خفیف مکرر

کدام سرطان‌ها به استخوان گسترش می‌یابند؟

بسیاری از موارد درگیری استخوانی در سرطان ناشی از متاستاز هستند؛ یعنی سلول‌های سرطانی از عضو اولیه جدا شده و از طریق خون یا لنف به استخوان می‌رسند. برخلاف تصور سرطان‌های «اولیه استخوان» نادرند و بیشتر موارد مربوط به سرطان‌هایی است که از جای دیگر بدن به استخوان سرایت می‌کنند.
سرطان‌هایی که بیشترین احتمال متاستاز به استخوان را دارند شامل موارد زیر هستند:
سرطان پستان: شایع‌ترین علت متاستاز استخوان مخصوصاً در ستون فقرات، لگن و دنده‌ها.
سرطان پروستات: معمولاً باعث ضایعات استخوانی سفت‌تر (اسکلروتیک) می‌شود.
سرطان ریه: اغلب با درد ناگهانی یا شکستگی پاتولوژیک خود را نشان می‌دهد.
سرطان کلیه: می‌تواند ضایعات استخوانی تخریبی ایجاد کند.
سرطان تیروئید: به‌ویژه نوع پاپیلاری و فولیکولار ممکن است به استخوان گسترش یابد.
این سرطان‌ها تمایل بالاتری به ایجاد متاستاز در ستون فقرات، لگن، دنده‌ها و استخوان‌های بلند دارند. برای ارزیابی دقیق دردهای استخوانی و انجام بررسی‌های لازم می‌توانید به روشنا مرکز غربالگری سرطان غرب تهران مراجعه کنید تا ارزیابی تخصصی و مطمئن دریافت کنید.

در کنار این موارد سرطان‌های اولیه خود استخوان نیز وجود دارند اما بسیار نادر هستند. از جمله استئوسارکوما، کندروسارکوما و مولتیپل میلوما.

روش های تشخیص منشا درد

روش های تشخیص منشا درد
تشخیص علت درد استخوان معمولاً مرحله‌به‌مرحله است و پزشک از ترکیبی از معاینه، آزمایش‌ها و تصویربرداری استفاده می‌کند تا مشخص کند درد ناشی از آسیب، التهاب، عفونت، پوکی استخوان، مشکلات عصبی یا بیماری‌های جدی مانند سرطان است.

گرفتن شرح‌حال دقیق

اولین مرحله تشخیص علت درد استخوان پرسیدن سؤالات هدفمند از بیمار است. پزشک درباره مدت زمان درد، شدت آن، محل دقیق ناراحتی و این‌که آیا درد با حرکت بدتر می‌شود یا در استراحت ادامه دارد سؤال می‌کند. همچنین وجود سابقه ضربه، فعالیت شدید، تب، کاهش وزن، تورم یا ضعف بررسی می‌شود. دانستن سابقه بیماری‌هایی مانند سرطان، پوکی استخوان یا عفونت نیز بسیار مهم است. این اطلاعات کمک می‌کند تا علت احتمالی درد محدودتر و تشخیص دقیق‌تر شود.

معاینه فیزیکی

در این مرحله پزشک ناحیه دردناک را با دقت لمس می‌کند تا حساسیت موضعی، تورم، قرمزی، گرمی یا وجود توده احتمالی مشخص شود. دامنه حرکت مفصل بررسی می‌شود تا مشخص گردد درد مربوط به استخوان است یا مفصل. همچنین عملکرد اعصاب اطراف ارزیابی می‌شود تا درد ناشی از مشکلات عصبی تشخیص داده شود.

آزمایش خون

آزمایش‌ها برای بررسی التهاب، عفونت یا مشکلات متابولیک کاربرد دارند. آزمایش CBC وضعیت خون، کم‌خونی یا عفونت را نشان می‌دهد. ESR و CRP میزان التهاب بدن را مشخص می‌کنند. سطح ویتامین D و کلسیم نیز برای ارزیابی سلامت استخوان اهمیت دارد. تست‌های عملکرد کلیه و کبد در بررسی بیماری‌های زمینه‌ای کمک‌کننده‌اند. در موارد مشکوک به سرطان مارکرهای تومور نیز درخواست می‌شود. این آزمایش‌ها جهت کلی تشخیص را مشخص می‌کنند.

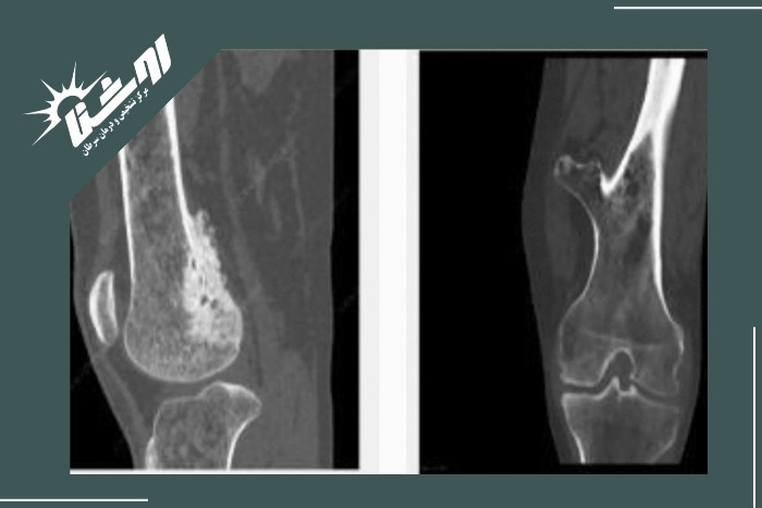
تصویربرداری‌های تشخیصی

اصلی‌ترین روش تشخیص مشکلات استخوانی است.
عکس ساده X-Ray برای بررسی شکستگی‌ها، پوکی استخوان و ضایعات بزرگ.
MRI برای مشاهده دقیق مغز استخوان، بافت نرم، تومورها و عفونت‌ها.
CT Scan جهت ارزیابی ساختار استخوان و شکستگی‌های پنهان.
اسکن استخوان برای بررسی متاستاز، شکستگی‌های ریز و عفونت‌های مخفی.
PET Scan برای تحلیل فعالیت سلولی و احتمال تومور.
سونوگرافی برای بررسی بافت نرم و مایع اطراف مفصل.
چنانچه قصد انجام انواع روش های تصویربرداری از جمله سی‌تی‌اسکن را دارید می‌توانید به مرکز مجهز روشنا بهترین مرکز سی تی اسکن غرب تهران مراجعه کنید.

نمونه‌برداری (بیوپسی)

اگر در تصویربرداری ضایعه‌ای مشکوک دیده شود نمونه‌برداری از استخوان انجام می‌شود که دقیق‌ترین روش برای تشخیص سرطان استخوان است.

تست‌های تخصصی دیگر

بسته به شرایط بیمار تست تراکم استخوان (DXA)، بررسی‌های روماتولوژی یا آزمایش‌های مربوط به عفونت‌های خاص نیز انجام می‌شود.

راهکارهای کنترل و کاهش خطر

راهکارهای کنترل و کاهش خطر
درد استخوان می‌تواند دلایل مختلفی داشته باشد؛ از فشارهای روزمره گرفته تا بیماری‌های جدی‌تر. با رعایت چند راهکار ساده می‌توان هم خطر بروز این دردها را کاهش داد و هم شدت آن‌ها را کنترل کرد.

حفظ سطح مناسب ویتامین D و کلسیم

مصرف لبنیات کم‌چرب، ماهی‌های چرب، تخم‌مرغ و قرار گرفتن کنترل‌شده در آفتاب به سلامت استخوان‌ها کمک می‌کند. در صورت کمبود مصرف مکمل‌ها با تجویز پزشک توصیه می‌شود.

فعالیت بدنی منظم و اصولی

ورزش‌های سبک و مداوم مانند پیاده‌روی، تمرینات مقاومتی با وزنه‌های سبک و حرکات کششی باعث تقویت استخوان و عضله و کاهش درد می‌شود.

پرهیز از بی‌تحرکی طولانی

نشستن‌های طولانی می‌تواند موجب ضعف عضلانی و درد در ستون فقرات و پاها شود. بهتر است هر یک ساعت چند دقیقه از جایتان بلند شوید.

اصلاح وضعیت بدن (Posture)

وضعیت نادرست هنگام نشستن، ایستادن یا کار با موبایل و کامپیوتر یکی از عوامل شایع دردهای اسکلتی است. صاف نشستن و تنظیم ارتفاع میز و صندلی بسیار مؤثر است.

کنترل وزن

کاهش وزن در افرادی که اضافه‌وزن دارند فشار واردشده بر مفاصل بزرگ مانند زانو و لگن را کاهش می‌دهد و به بهبود درد کمک می‌کند.

کمپرس سرد یا گرم

کمپرس سرد برای التهابات و آسیب‌های تازه و کمپرس گرم برای اسپاسم عضلانی مناسب است. هر بار ۱۵ تا ۲۰ دقیقه کافی است.

مصرف مسکن‌های ایمن با تجویز پزشک

داروهایی مانند استامینوفن یا ایبوپروفن می‌توانند درد را کاهش دهند اما نباید بدون نظارت طولانی‌مدت مصرف شوند.

استفاده از کفش مناسب

کفش استاندارد از فشار اضافی به پا، زانو و کمر جلوگیری می‌کند و به کاهش درد کمک می‌کند.

ترک سیگار

سیگار جریان خون استخوان را کاهش می‌دهد و خطر درد و شکستگی را بالا می‌برد.

مدیریت استرس و خواب کافی

داشتن برنامه خواب منظم و استفاده از تکنیک‌های آرام‌سازی مانند تنفس عمیق و مدیتیشن به کاهش درد کمک می‌کند.

مراجعه به پزشک هنگام دردهای مداوم یا غیرعادی

اگر درد طول بکشد شب‌ها بدتر شود یا همراه با علائمی مانند تب یا کاهش وزن باشد نیاز به بررسی تخصصی دارد.
راهکارهای کنترل و کاهش خطر

توصیه پایانی

در مجموع درد استخوان می‌تواند از دلایل ساده مانند فشارهای روزمره تا مشکلات جدی‌تری مثل عفونت، التهاب، پوکی استخوان یا حتی سرطان ناشی شود.برخی علائم می‌توانند هشداردهنده باشند؛ مانند درد مداوم بیش از دو هفته، درد شبانه، تورم یا توده، کاهش وزن بی‌دلیل، خستگی شدید و شکستگی بدون ضربه که ممکن است نشانه سرطان باشند.
تشخیص آن بر پایه شرح‌حال دقیق، معاینه فیزیکی، آزمایش خون، تصویربرداری و در موارد لازم بیوپسی انجام می‌شود. در نهایت هر درد مداوم یا غیرعادی باید حتماً توسط پزشک بررسی شود تا علت دقیق آن مشخص گردد. مرکز تصویربرداری روشنا با استفاده از فناوری‌های پیشرفته تشخیص دقیق دردهای استخوانی را فراهم می‌کند. هدف ما ارائه ارزیابی سریع، قابل‌اعتماد و همراه با آرامش بیمار است تا مسیر درمان با اطمینان آغاز شود. برای دریافت مشاوره یا رزرو نوبت می‌توانید از طریق دکمه دریافت نوبت یا شماره تماس کارگاه‌های آموزشی اقدام نمایید.


منابع
nhs.uk
mayoclinic.org

نوسانی بودن درد معمولاً بیشتر با مشکلات غیرسرطانی دیده می‌شود اما اگر پایدار شد یا تشدید شد باید بررسی شود.

خیر بعضی ضایعات استخوانی بدون درد هستند و تنها در تصویربرداری دیده می‌شوند.

بله، اما صفر نمی‌کند. برخی سرطان‌ها حتی در افراد جوان هم می‌توانند به استخوان برسند.

لیست نظرات

الهه برومند

خیلی مطلب کاملی بود. من همیشه درد ساق پام رو نادیده می‌گرفتم، الان فهمیدم باید برم بررسی کنم.

ناهید طبسی

من همیشه فکر می‌کردم درد استخوان فقط از کمبود کلسیمه. اصلاً نمی‌دونستم سرطان هم می‌تونه باعثش بشه.

مژگان لشگری

من از درد شبونه خیلی می‌ترسیدم. الان فهمیدم همیشه دلیل بد نداره، ولی باید جدی گرفت.


تماس با ما

تایم کاری :

شنبه تا چهارشنبه ساعت 08:00 تا 20:00

تماس با ما :

آدرس :

تهران، فلکه دوم صادقیه، خیابان ستارخان، بلوار شهدای صادقیه، کوچه پرویز، پلاک 15

شبکه های اجتماعی :

مرکز تصویربرداری روشنا - بهترین مرکز تصویربرداری در غرب تهران و صادقیه