تشخیص سنگ کیسه صفرا با سونوگرافی

مشاهده مستقیم سنگها
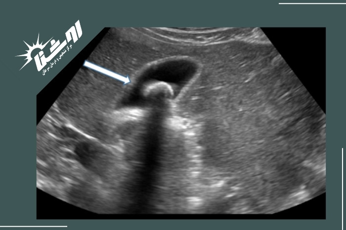
سنگهای صفراوی معمولاً به شکل نقاط روشن در اولتراسوند دیده میشوند. این سنگها سایهای تیره در پشت خود ایجاد میکنند که به تشخیص آنها کمک میکند. حتی سنگهای کوچک نیز معمولاً قابل شناسایی هستند.بررسی دیواره کیسه صفرا
در زمان التهاب یا عفونت دیواره کیسه صفرا ضخیمتر از حالت طبیعی میشود. اولتراسوند به پزشک امکان میدهد این تغییر را به وضوح مشاهده کند و در صورت نیاز درمان مناسب را آغاز نماید.تشخیص انسداد مجاری صفراوی
اگر سنگ به درون مجاری صفراوی حرکت کند و مسیر خروج صفرا را مسدود سازد اولتراسوند میتواند این انسداد را نشان دهد. در این حالت معمولاً مجراها گشادتر از حد طبیعی دیده میشوند.ارزیابی اندازه و شکل کیسه صفرا
اولتراسوند علاوه بر تشخیص سنگ اندازه و شکل کلی کیسه صفرا را نیز نشان میدهد. در صورت بزرگ شدن یا تغییر شکل غیرطبیعی پزشک میتواند به وجود مشکل دیگری پی ببرد.دقت بالا و بدون عوارض
این روش برخلاف سیتیاسکن یا سایر روشهای تصویربرداری نیازی به اشعه ندارد و برای همه افراد از جمله زنان باردار بیخطر است. به همین دلیل معمولاً اولین روش پیشنهادی برای بررسی دردهای شکمی مشکوک به سنگ صفرا محسوب میشود.در نهایت سونوگرافی به دلیل دقت بالا، سرعت انجام و ایمنی کامل اصلیترین ابزار برای شناسایی و پیگیری وضعیت کیسه صفرا در بیماران است. اگر به دنبال سونوگرافی خوب در غرب تهران هستید میتوانید به مرکز تصویربرداری روشنا مراجعه کنید.







